FJERNELSE AF HALE PÅ BULLDOG
Bulldogens hale er meget kort og har ofte en karakteristisk krølle, så halestumpen sidder tæt ind til huden. Den krøllede hale kan lave et udfold, der er svær at komme til og kan være til stor gene.
Halehvirvlerene er ofte vokset sammen, så halen ikke egentlig kan logre.
Som ejer af en bulldog skal man altid sørge for at holde godt øje med haleområdet og sikre, der ikke udvikles betændelse under halestumpen. Området er særligt udsat, fordi huden ikke får luft, og dermed er der god grobund for bakterier og svampe. En Engelsk bulldog har svært ved at nå sin egen hale, og derfor vil irritationen vise sig ved, at hunden forsøger at gnubbe sin numse på f.eks. et kokostæppe.
Bulldogen kan have tilbagevendende problemer med hudbetændelse i området under og omkring halen. Er daglig pleje af huden og medicinsk behandling ikke tilstrækkeligt til at løse problemet? Er hunden generet og har ondt? Ja, så kan løsningen være at fjerne halen ved operation.
Halen kan være placeret på en sådan måde, at hunden ikke kan flytte halen tilstrækkeligt, når den har afføring. Det betyder, at hunden ofte skal vaskes, så afføringen fjernes. Dette er til gene og ubehag for hunden, da afføringen irriterer huden og gør den øm. Det er desuden meget besværligt for ejeren at vaske hundens rumpe måske flere gange om dagen. Her kan det også være aktuelt med en fjernelse af halen.

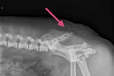
Før operationen tages et røntgenbillede af bagparten, så halehvirvlernes placering kan vurderes.
Hunden bedøves under hensyntagen til den fladsnudede hunds ofte besværede vejrtrækning. Haleområdet gøres klar til operation.
Der lægges et ovalt snit rundt omkring halens tilhæftning på rumpen. Ud fra røntgenbillederne vurderes halehvirvlernes udformning og ud fra dette besluttes, hvor snittet skal lægges. Det er stort set aldrig muligt at bevare noget af halen.
Huden sys sammen, og der tages et nyt røntgenbillede af halen.





Hunden behandles med smertestillende medicin. Hunden skal efter operationen holdes i ro i 10 dage, hvorefter stingene fjernes hos dyrlægen. Nogle gange bliver der lagt et dræn, der skal fjernes 3 dage efter operationen.
Hunden må ikke slikke i såret. Dette er ofte ikke et problem, da mange bulldogs ikke kan nå deres egen rumpe. Hvis hunden har været generet af sin hale, vil den få det væsentlig bedre efter at halen fjernes. Når først hårene er groet ud igen, lægger man sjældent mærke til, at der mangler en hale.
De fleste hunderacer bruger halen som ”balancestang”, og den er med til at sende signaler til andre hunde og mennesker. Bulldogen bruger ikke halen på samme måde, da halen er meget kompakt og ikke særlig bevægelig. Hunden vil fint kunne leve uden sin hale.
Mange bulldogs ”logrer” jo med hele bagpartiet frem for bare med halen.
Hos Artemis udfører den erfarne dyrlæge Louise Frost operationen, når en hale skal fjernes. Hun har mange års ekspertise som kirurg og har over tiden fjernet mange haler og lettet livet for adskillige bulldogs.




De fleste hunderacer bruger halen som ”balancestang”, og den er med til at sende signaler til andre hunde og mennesker. Bulldogen bruger ikke halen på samme måde, da halen er meget kompakt og ikke særlig bevægelig. Hunden vil fint kunne leve uden sin hale.
Mange bulldogs ”logrer” jo med hele bagpartiet frem for bare med halen.
Hos Artemis udfører den erfarne dyrlæge Louise Frost operationen, når en hale skal fjernes. Hun har mange års ekspertise som kirurg og har over tiden fjernet mange haler og lettet livet for adskillige bulldogs.